多颗牙齿缺失会有哪些危害影响呢
来源:贝臣齿科
2016-06-29 15:05
进入答疑区

  多颗牙齿缺失会有哪些危害影响呢? 牙齿缺失是很正常的,尤其是年纪大的人们,更会出现多颗牙齿掉落这种情况,当出现了这种情况以后,大家要需要知道的是,这会有很多危害,那么,多颗牙齿缺失会有哪些危害影响呢?
 

  多颗牙齿缺失会有哪些危害影响呢?多可牙齿掉了以后是会有很多危害的,这点是需要大家知道的:
 

  1、牙列的完整性遭到破坏:多颗牙齿缺失后,若较长时间不修复,邻近的牙齿由于失去了依靠和约束,会变得倾斜,易造成咬颌功能的紊乱。
 

  

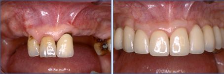
牙齿缺失了不补的危害是非常大的
 

  2、牙槽骨萎缩:多颗牙缺失后正常咬颌力对牙槽骨的生理性刺激不复存在,牙槽骨均会出现不同程度的废用性萎缩,并且会给后期假牙修复及维持口腔颌面部的平衡和稳定带来巨大困难。
 

  3、咀嚼功能减退:多颗牙齿缺失后,余留牙齿发生了一系列变化,使原本良好的咬颌关系发生变化,由于余留牙之间有效功能面积相应减少,咀嚼效能降低。
 

  4、食物嵌塞:正常牙齿与牙齿之间,排列得十分紧密,邻近的牙齿移动后,牙齿与牙齿会出现缝隙,容易使食物嵌塞到牙齿间隙里,引起口臭、龋齿、牙周病等。
 

  

缺失牙齿做种植牙是很不错的选择

 

  缺失牙齿做种植牙是很不错的选择
 

  多颗牙齿缺失了以后,是会给自己带来很多危害影响的,这点是需要大家重视的,所以当出现了这种情况以后,人们就需要及早的到医院做种植了,种植牙不但能给人们靓丽好牙,而且还能避免以上的危害影响。

温馨提示:
病情因人而异,以上信息仅供参考,请您一定到专业正规医院,接受医生的诊断与治疗。贝臣齿科提供网络咨询预约平台,可以向在线人员咨询您的情况。

在线咨询预约医生

在线咨询(免费咨询)在线近距离

点击右侧按钮查看其它视频
点击右侧按钮查看其它视频

24H免费咨询电话

贝臣节假日无休

福州贝臣齿科 — 专做口腔

福州贝臣齿科是卫生部门批准成立的专业口腔诊疗机构。在全国各大城市CBD商务核心区...[详细]

推荐医生

  • 阿诺德·马丁贝臣齿科(中

  • 穆素花贝臣世茂院技

  • 林劲松贝臣世茂院牙

  • 陈振林贝臣世茂院正

  • 阿诺德·马丁贝臣齿科(中

  • 穆素花贝臣世茂院技

  • 林劲松贝臣世茂院牙

  • 陈振林贝臣世茂院正

口腔热门项目推荐

  • 牙齿种植
  • 牙齿矫正
  • 牙齿修复
  • 牙齿美白
  • 无痛治疗
  • 儿童齿科

来院路线

来院路线
地址:福州世茂国际中心1号楼3层(地铁茶亭站D出口)