种植牙如何护理合适
来源:贝臣齿科
2016-11-08 14:43
进入答疑区

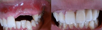
  想要具体了解种植牙如何护理合适点击【在线咨询】直接问医生!方便!快捷!种植牙其实指的是一种以植入骨组织内的下部结构为基础来支持、固位上部牙修复体的缺牙修复方式。种植牙便是一种缺牙“种”出来的水平,种植牙由于人工牙深植牙骨内,可承受正常的咀嚼力量,功能和美观上几乎和自然牙一样,因此,被人们称为人类的第三副牙齿,受到更多患者的信任和亲睐。
 


 

  种植牙是牙齿缺失方面先进的,它的存在已经渐渐取代了传统假牙对于牙齿缺失的垄断。种植牙是需要护理的,因为种植牙再怎么好毕竟是人工牙,就算是原牙它也是需要护理的。
 

  做完种植牙后要如何保护比较合适:点这里,直接预约医生!方便快捷!
 

  种植牙护理常识1、炎症是威胁种植体成功率的主要原因。您需要使用合适的工具每日进行彻底的口腔清洁,医师在您的种植修复完成时交待如何护理您的新牙齿。
 

  种植牙护理常识2、戴牙后第4个月、第7个月、第13个月需要复诊。以后您需要每年一次复诊,进行口腔检查,检查种植体的情况,并根据具体情况安排口腔洁治去除牙石。
 

  种植牙护理常识3、种植牙与周围骨组织的结合还需要一个生理适应过程,刚戴上种植牙1年之内需要从软到较硬食物的过渡,逐渐负重。在以后使用中应避免咬硬物,如螃蟹壳、坚果类。
 

  种植牙护理常识4、如果在使用过程中发现有异常情况,例如种植牙松动、、牙龈发红、疼痛、刷牙出血等应该及时就诊。
 

  医师还说,成功的种植牙种植牙有稳固牢靠、舒适美观、安全持久三大优势,能修复恒牙缺失,重建咀嚼功能,提高人类生存质量。
 


 

  要做种植牙,选贝臣齿科!
 

  种植牙的优势在哪里?贝臣齿科---完美种植牙,无需磨损天然基牙,选用材料具有高度的生物相容性及生物力学适应性,持久美观,只要正确保养,可使用一生,只需30分钟,还您健康牙齿,坚固耐磨,更胜真牙。 还有不明白的,点击免费咨询,或者拨打24小时贝臣美牙热线0591-88681777咨询,贝臣齿科医生为您解答!

温馨提示:
病情因人而异,以上信息仅供参考,请您一定到专业正规医院,接受医生的诊断与治疗。贝臣齿科提供网络咨询预约平台,可以向在线人员咨询您的情况。

在线咨询预约医生

在线咨询(免费咨询)在线近距离

点击右侧按钮查看其它视频
点击右侧按钮查看其它视频

24H免费咨询电话

贝臣节假日无休

福州贝臣齿科 — 专做口腔

福州贝臣齿科是卫生部门批准成立的专业口腔诊疗机构。在全国各大城市CBD商务核心区...[详细]

推荐医生

  • 阿诺德·马丁贝臣齿科(中

  • 穆素花贝臣世茂院技

  • 林劲松贝臣世茂院牙

  • 陈振林贝臣世茂院正

  • 阿诺德·马丁贝臣齿科(中

  • 穆素花贝臣世茂院技

  • 林劲松贝臣世茂院牙

  • 陈振林贝臣世茂院正

口腔热门项目推荐

  • 牙齿种植
  • 牙齿矫正
  • 牙齿修复
  • 牙齿美白
  • 无痛治疗
  • 儿童齿科

来院路线

来院路线
地址:福州世茂国际中心1号楼3层(地铁茶亭站D出口)