种植牙前应了解这些注意事项
来源:贝臣齿科
2016-11-08 14:54
进入答疑区

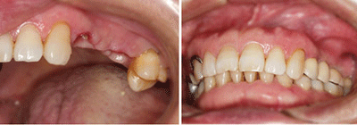
  想要具体了解种植牙前应了解这些注意事项点击【在线咨询】直接问医生!方便!快捷!生活中很多人因为各种原因导致前牙出现缺失,前牙缺失不仅影响人的外在形象,甚至严重影响人的心理健康,所以及时到医院进行种植牙修复就显得尤为必要了。那么种植前牙前应注意哪些呢?且听贝臣齿科为您解答。
 


 

  医师表示,种植牙齿虽然是一个较小的手术,但是需要专业的设备、过硬的操作水平和严密的医患配合,这样才能取得理想的种植效果。
 

  种植前牙需要注意的事项:点这里,直接预约医生!方便快捷!
 

  第一、选择正规的医疗机构和专科医生:要选择那些正规的、水平力量强、种植设备先进的医疗机构;医生要经过正规学习和训练,并且有丰富的种植牙经验。
 

  第二、查看种植牙产品的合法性:向医生了解给自己使用的种植牙是否经过国家法定部门许可使用。在我国,正规的种植牙的产品除应有国家医药管理局的生产许可证外,还必须经过卫生部的审查并取得临床使用批件。
 

  第三、了事前与医生进行很好地交流:清楚种植牙用于自己的具体失牙情况时能获得什么样的效果,需要注意什么问题,并且很好地与医生配合。
 


 

  【显微微痛速导种植术】——快速安全种好牙
 

  是指在计算机系统指挥下,根据患者的口腔断层成像数据自动形成精确立体的三维、四维口腔骨骼图像,精确的测量出原来传统二维平面X光片所无法测量出的牙槽骨的质和量,以及颌骨的颊舌径宽度及上下牙槽神经管和走行,计算机将一系列的精准测量数据上传计算机云端,与78国人体口腔数据库中数据进行精准比对,快速匹配出标准模型,并自动创建精准的可视化“种植手术模板”,能够在术中精确引导种植体植入的精准位置和适合深度。
 

  另外,在显微镜下放大21倍,精密修复烤瓷牙冠,将依据个体五官、脸型、性别等特体差异,量身定制精美的牙冠,牙齿种植、牙周修复、颌面美学各专业牙医通力协作,让种植方案更完美周密。 还有不明白的,点击免费咨询,或者拨打24小时贝臣美牙热线0591-88681777咨询,贝臣齿科医生为您解答!

温馨提示:
病情因人而异,以上信息仅供参考,请您一定到专业正规医院,接受医生的诊断与治疗。贝臣齿科提供网络咨询预约平台,可以向在线人员咨询您的情况。

在线咨询预约医生

在线咨询(免费咨询)在线近距离

点击右侧按钮查看其它视频
点击右侧按钮查看其它视频

24H免费咨询电话

贝臣节假日无休

福州贝臣齿科 — 专做口腔

福州贝臣齿科是卫生部门批准成立的专业口腔诊疗机构。在全国各大城市CBD商务核心区...[详细]

推荐医生

  • 阿诺德·马丁贝臣齿科(中

  • 穆素花贝臣世茂院技

  • 林劲松贝臣世茂院牙

  • 陈振林贝臣世茂院正

  • 阿诺德·马丁贝臣齿科(中

  • 穆素花贝臣世茂院技

  • 林劲松贝臣世茂院牙

  • 陈振林贝臣世茂院正

口腔热门项目推荐

  • 牙齿种植
  • 牙齿矫正
  • 牙齿修复
  • 牙齿美白
  • 无痛治疗
  • 儿童齿科

来院路线

来院路线
地址:福州世茂国际中心1号楼3层(地铁茶亭站D出口)