做种植牙需要多久
来源:贝臣齿科
2016-11-12 14:59
进入答疑区

  想要具体了解补牙的几种方法  点击【在线咨询】直接问医生!方便!快捷!种植一颗牙齿的时间一般都需要4到6个月,根据调查我们每个人长一颗牙齿都需要2年左右的时间,更何况种是种植一颗牙齿呢,但是每一个人种人工牙齿的时间是不同的,需要看患者的具体的情况来确定。直接与医院在线医师一对一通话,方便!快捷!了解详情就医指导。
 

  种植牙手术按失牙后时间的长短可分为即刻和延迟种植手术。种植牙的材料分为牙根材料和牙冠材料两部分,牙冠材料可以根据患者意愿来进行处理,而牙根材料则是有严格的规定。
 


 

  种植的时间主要要看以下几个方面?点这里,直接预约医生!方便快捷!
 

  首先患者朋友在进行手术前,需要检查和处理,常见的事项就是拔掉特别松的牙齿、残根,充填齿,治疗牙周病去除不良假牙,调改和纠正不良咬合关系等。所需时间视各人治疗情况不同而异。
 

  其次患者朋友就要进入到种植手术阶段:当专家根据患者的牙齿情况设计方案后,就要通过手术将种植体植入骨内,术后反应较小。植入一枚种植体的时间约为10-30分钟。
 

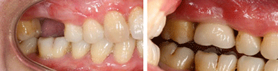
  后术后四至六个月,更换或安装恒久牙冠或义齿。恒久牙冠为烤瓷材料制作。其质地优良、色泽逼真,舒适美观,恢复功能满意,经久耐用。
 


 

  温馨提示:种植牙是牙种植联盟推荐的种植系统,是目前世界上好的种植牙系统之一,是微痛微创手术,只需一次手术,愈合时间只需八周,使用四级纯钛制作的种植体,成功率极高,使用寿命长。 还有不明白的,点击免费咨询,或者拨打24小时贝臣美牙热线0591-88681777咨询,贝臣齿科医生为您解答!

温馨提示:
病情因人而异,以上信息仅供参考,请您一定到专业正规医院,接受医生的诊断与治疗。贝臣齿科提供网络咨询预约平台,可以向在线人员咨询您的情况。

在线咨询预约医生

在线咨询(免费咨询)在线近距离

点击右侧按钮查看其它视频
点击右侧按钮查看其它视频

24H免费咨询电话

贝臣节假日无休

福州贝臣齿科 — 专做口腔

福州贝臣齿科是卫生部门批准成立的专业口腔诊疗机构。在全国各大城市CBD商务核心区...[详细]

推荐医生

  • 阿诺德·马丁贝臣齿科(中

  • 穆素花贝臣世茂院技

  • 林劲松贝臣世茂院牙

  • 陈振林贝臣世茂院正

  • 阿诺德·马丁贝臣齿科(中

  • 穆素花贝臣世茂院技

  • 林劲松贝臣世茂院牙

  • 陈振林贝臣世茂院正

口腔热门项目推荐

  • 牙齿种植
  • 牙齿矫正
  • 牙齿修复
  • 牙齿美白
  • 无痛治疗
  • 儿童齿科

来院路线

来院路线
地址:福州世茂国际中心1号楼3层(地铁茶亭站D出口)