长时间缺牙人容易衰老
来源:贝臣齿科
2016-11-13 14:41
进入答疑区

  想要具体了解长时间缺牙人容易衰老 点击【在线咨询】直接问医生!方便!快捷!其实我们身边也有好多长时间缺牙的朋友,因为镶牙的价钱昂贵或是缺少的是里面的牙等等多种因素,使得长时间牙齿都是缺失的,这样势必会对口腔造成极大的影响,甚至有人还会怀疑长时间缺牙会不会衰老的问题。
 

  长时间缺牙容易衰老是么
 

  贝臣齿科医生指出,长时间缺牙是会容易引起衰老问题的,而且日常生活饮食也会有很多的不方便,进而影响到饮食习惯导致肠胃功能下降。另外对于年轻人而言,外观形象也会受很大影响,给人一种老态龙钟的感觉。直接与医院在线医师一对一通话,方便!快捷!了解详情就医指导。
 


 

  下面就来给大家介绍长时间缺牙可导致的几种情况:
 

  1、从外观上看,假如我们缺失的是门牙,颌面部解剖形态的完整和面容的漂亮遭到破环,从外观上给人感觉不漂亮,说话漏风,给人“老掉牙”的感觉。
 

  2、从健康角度,假如缺失的是后牙,当牙齿缺失后,咀嚼、吞咽、语言、表情等生理功能都将受到不同程度的影响。牙齿缺失后影响人们的咀嚼功能,与富于营养物质、富含纤维食物和蔬菜的摄取不足有关,并可引起血清生化指标下降;无论中青年患者朋友还是老年人,长期牙周不健康及牙齿缺失与记忆力减退、糖尿病、呼吸道疾病、心血管疾病和中风相关。
 

  3、长久缺牙后,由于口腔咀嚼功能减低,患者朋友好多东西不能吃,消化机能以及心理都会受到影响,尤其是限制了饮食范围,不能摄取多种多样的营养食品,由此可见长久牙齿缺损对身体的副作用很大;引起咀嚼受限,难免影响大家的消化吸收功能,从而加快衰老的速度。文章看累了!点这里直接预约医生!方便快捷!
 


 

  长时间缺牙的人是容易衰老的,所以建议那些口腔内缺失牙的朋友,为了自己的美丽容颜及我们健康的身体,缺牙后一定要及时镶牙,假如长期缺牙,会影响大家的面容,甚至引起提前衰老。如果说你的牙齿条件和经济条件允许建议可考虑3i种植牙系统,微创微痛,牙体更坚固,使用寿命更持久!
 

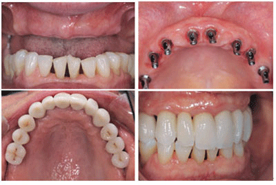
  美齿巅峰—3i种植牙
 

  贝臣齿科引进的3i种植牙术,被誉为是口腔种植领域的领导者之一,其种植体的表面微观结构和极高的临床成功率为3i种植牙术赢得了世界的赞誉。3i种植牙是种植牙领先的“微创”术,让种植牙彻底告别疼痛,种植过程缩短到快10分钟。手术操作简单快捷,患者可以在舒适、微痛、轻松的状态下完成手术过程。
 

  不管是出于什么原因导致牙齿的确实建议都尽可能的去医院做修复,就如长时间缺牙影响的不仅仅是个人形象,对口腔健康也有莫大的威胁,所以多给自己的牙齿做一点投资,是保证身体健康的前提之一。 还有不明白的,点击免费咨询,或者拨打24小时贝臣美牙热线0591-88681777咨询,贝臣齿科医生为您解答!

温馨提示:
病情因人而异,以上信息仅供参考,请您一定到专业正规医院,接受医生的诊断与治疗。贝臣齿科提供网络咨询预约平台,可以向在线人员咨询您的情况。

在线咨询预约医生

在线咨询(免费咨询)在线近距离

点击右侧按钮查看其它视频
点击右侧按钮查看其它视频

24H免费咨询电话

贝臣节假日无休

福州贝臣齿科 — 专做口腔

福州贝臣齿科是卫生部门批准成立的专业口腔诊疗机构。在全国各大城市CBD商务核心区...[详细]

推荐医生

  • 阿诺德·马丁贝臣齿科(中

  • 穆素花贝臣世茂院技

  • 林劲松贝臣世茂院牙

  • 陈振林贝臣世茂院正

  • 阿诺德·马丁贝臣齿科(中

  • 穆素花贝臣世茂院技

  • 林劲松贝臣世茂院牙

  • 陈振林贝臣世茂院正

口腔热门项目推荐

  • 牙齿种植
  • 牙齿矫正
  • 牙齿修复
  • 牙齿美白
  • 无痛治疗
  • 儿童齿科

来院路线

来院路线
地址:福州世茂国际中心1号楼3层(地铁茶亭站D出口)