长期的牙齿缺失的危害在哪里呢
来源:贝臣齿科
2016-11-30 14:22
进入答疑区

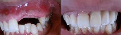
  想要具体了解长期的牙齿缺失的危害在哪里呢 点击【在线咨询】直接问医生!方便!快捷!在生活中,发生意外或者口腔疾病发生,有些人就因此出现了牙齿缺失,长期的牙齿缺失的危害在哪里呢?牙齿缺失不仅仅影响到我们的美观问题,还会给我们带来很多烦恼。
 

  对于牙齿缺失,医生介绍:要先明确牙齿缺失的病因,在进行针对性的治疗。牙齿缺损常见的原因是龋病,其次为外伤、磨损、楔状缺损、酸蚀和发育畸形。发育畸形常见的为釉质发育不全,斑釉牙及过小牙等。轻度釉质发育不全者牙冠呈白垩色或褐色斑,严重者则出现牙冠形态不完整,釉质钙化不良,硬度降低,牙釉质表面粗糙且有色素沉着。直接与医院在线医师一对一通话,方便!快捷!了解详情就医指导。
 


 

  牙齿缺损的危害
 

  1、牙齿缺损会影响面形,牙齿全部缺失后,整个人看起来会比同龄人苍老许多。
 

  2、牙齿缺损后,咀嚼功能就衰退影响人体对营养成分的吸收。
 

  3、牙齿缺损会使人的发音变得不标准,影响人的交际活动。从上述情况来看,牙齿缺损的危害不容忽视。
 

  4、牙齿缺损容易引发龋齿和牙周病。
 

  5、可能引起颞下颌关节病变。长时间的缺损单侧牙齿还会养成偏侧咀嚼的习惯,从而出现面部不对称和关节症状。点这里,直接预约医生!方便快捷!
 


 

  医生指出,如果牙齿出现缺损,应该立即向牙科医生咨询,以确定是否需要进行治疗,牙科医生一般会检查受损部位,甚至还会请患者进行x光检查。值得注意的是,如果由于撞伤而造成某颗牙齿完全脱落,要尽快带上脱落的牙齿到牙医处,可以通过"再植"使脱落的牙齿重新回到原位。
 

  对于中度的牙齿缺损,就要进行牙体修复,缺损面积小的可以用充填法修复。如果缺损面积大用充填法不能修复的,可以用制作修复体的方法进行修复,修复体主要是全冠、嵌体和部分冠等,医生会根据牙齿缺损程度不同采取不同修复治疗。 还有不明白的,点击免费咨询,或者拨打24小时贝臣美牙热线0591-88681777咨询,贝臣齿科医生为您解答!

温馨提示:
病情因人而异,以上信息仅供参考,请您一定到专业正规医院,接受医生的诊断与治疗。贝臣齿科提供网络咨询预约平台,可以向在线人员咨询您的情况。

在线咨询预约医生

在线咨询(免费咨询)在线近距离

点击右侧按钮查看其它视频
点击右侧按钮查看其它视频

24H免费咨询电话

贝臣节假日无休

福州贝臣齿科 — 专做口腔

福州贝臣齿科是卫生部门批准成立的专业口腔诊疗机构。在全国各大城市CBD商务核心区...[详细]

推荐医生

  • 阿诺德·马丁贝臣齿科(中

  • 穆素花贝臣世茂院技

  • 林劲松贝臣世茂院牙

  • 陈振林贝臣世茂院正

  • 阿诺德·马丁贝臣齿科(中

  • 穆素花贝臣世茂院技

  • 林劲松贝臣世茂院牙

  • 陈振林贝臣世茂院正

口腔热门项目推荐

  • 牙齿种植
  • 牙齿矫正
  • 牙齿修复
  • 牙齿美白
  • 无痛治疗
  • 儿童齿科

来院路线

来院路线
地址:福州世茂国际中心1号楼3层(地铁茶亭站D出口)