牙齿烂了咋办?能补好吗?
来源:贝臣齿科
2016-12-30 14:11
进入答疑区

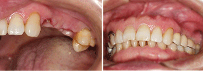
  想要具体了解牙齿烂了咋办?能补好吗 点击【在线咨询】直接问医生!方便!快捷!经过调查发现,百分之九十九的人都患者蛀牙,每个人的蛀牙程度都不同,这是对我们的自身健康是个极大的危害。而烂牙就是因为蛀牙而产生的牙洞,如果没有及时处理,牙齿将会失去鲜亮的外形,成为残根残冠。除了蛀牙之外,有些患者也可能会因为疾病放射治疗后牙齿变脆弱,不小心吃到硬物导致牙齿折断,而且因为外力撞击也可能导致牙齿折断,也就是俗称的烂牙。
 

  但是不管怎样,烂牙是需要我们及时拔除的,否则会造成更加严重的后果,但是烂牙拔掉之后不补也会给我们的生活造成很严重的影响,比如缺牙了,说话会漏风,咀嚼功能和效率就会受到影响,并会进一步影响消化系统的功能,而它对我们的发音、外观都有一定的影响,所以补牙是很有必要的,如今兴起的种植牙术就是个不错的补牙方式。直接与医院在线医师一对一通话,方便!快捷!了解详情就医指导。
 

  医生指出,常见的修复缺失牙的方法有三种,即活动义齿、固定义齿、种植义齿,它们各有所长。
 


 

  1.活动义齿,它由卡环(老百姓俗称“钢丝钩”)、基托、人工牙、支托组成,其原理是通过卡环“钩住”剩余牙齿来稳定假牙,基托连接人工牙来修复缺失牙。卡环与基托是多出来的附加结构,影响美观、发音,会有异物感,另外,整个假牙每天必须取下清洁刷洗几次,否则食物会进入假牙与牙龈之间,或粘附于假牙表面上,引发口腔疾病,甚至产生口腔异味。可见,活动义齿缺点较多,麻烦不少。
 

  2.固定义齿,牙科医生称之为“固定桥”,老百姓多称其为“烤瓷牙”。具体做法是把缺失牙两边的健康牙磨小,变成“桥墩”,然后做牙套套住两边磨小的牙齿,来架住缺失的牙齿(又称桥体),这种方法无需每天取下来清洁,咀嚼功能较强,但有一个致命弱点,即为了修复缺失牙,需要磨削两边的健康牙齿,未镶缺牙而先损好牙,实在可惜。如果恰好邻牙本身就有问题,如龋齿、隐裂或者已经做过根管治疗需要做牙套保护,选择这种方法比较合适。
 

  3.种植义齿,老百姓称之为“种植牙”,其原理是在缺失牙的部位将纯钛的种植体植入牙床内。3个月后,种植体通过表面的生物活性涂层与周围骨质发生骨融合,然后在种植体上安装牙冠或牙桥,其结构与感觉类似于天然牙齿,无需取戴,咀嚼功能强,既克服了活动义齿的不美观、不舒适、每天需清洗的缺点,又不需要磨削缺牙部位相邻的健康牙。目前这种镶牙法,成为口腔医学界公认的缺失牙的修复方法。
 


 

  【种植六大优势】
 

  1、功能强:能很好地恢复牙齿功能,咀嚼功能大大优于其他传统假牙。
 

  2、不磨牙:依靠自身的人工牙根进行修复,不用磨旁边的健康牙齿,对牙齿没有任何伤害。
 

  3、固位好:不使用传统镶牙的卡环或牙套,人工牙根牙槽骨紧密结合,像真牙一样扎根在口腔里,具有很强的固位力与稳定性。
 

  4、美观:可以根据就诊者的脸型、其他牙齿的形状与颜色制作牙冠,达到整体协调和美观的效果。
 

  5、舒适方便:不使用活动假牙必需的基托与卡环,没有异物感,非常舒适、方便,而且有利于保持口腔的清洁卫生。
 

  6、操作简单:采用局部麻醉,创伤小,术后即可进食,几乎微痛苦。一般种植体植入术只需要几十分钟至数小时即可以完成。由于选用的是与人体相容性极好的生物材料,种植牙对人体不产生任何不良的副作用。如果种植牙的骨结合失败,也就是种植牙没有成功,也可以取出以后待骨愈合再做种植,或者改用其他修复方法。我想种植牙,大概要多少钱
 

  微痛微创植牙不受罪
 

  贝臣齿科在种植牙领域进一次深入研究,为了给患者提供更好的诊疗体验,此次将水激光与锥形束平板CT相结合,实行全球领先的微创植牙术,使用水激光,使分子排列成具有高速动能的粒子束,作用于软组织,从而达到切割、移除组织的目的:使用CT重建成3D数字模型,从而实现微创种植理念。将创伤降到小程度,保证了治疗过程中的安全、微创、精准和舒适。 还有不明白的,点击免费咨询,或者拨打24小时贝臣美牙热线0591-88681777咨询,贝臣齿科医生为您解答!

温馨提示:
病情因人而异,以上信息仅供参考,请您一定到专业正规医院,接受医生的诊断与治疗。贝臣齿科提供网络咨询预约平台,可以向在线人员咨询您的情况。

在线咨询预约医生

在线咨询(免费咨询)在线近距离

点击右侧按钮查看其它视频
点击右侧按钮查看其它视频

24H免费咨询电话

贝臣节假日无休

福州贝臣齿科 — 专做口腔

福州贝臣齿科是卫生部门批准成立的专业口腔诊疗机构。在全国各大城市CBD商务核心区...[详细]

推荐医生

  • 阿诺德·马丁贝臣齿科(中

  • 穆素花贝臣世茂院技

  • 林劲松贝臣世茂院牙

  • 陈振林贝臣世茂院正

  • 阿诺德·马丁贝臣齿科(中

  • 穆素花贝臣世茂院技

  • 林劲松贝臣世茂院牙

  • 陈振林贝臣世茂院正

口腔热门项目推荐

  • 牙齿种植
  • 牙齿矫正
  • 牙齿修复
  • 牙齿美白
  • 无痛治疗
  • 儿童齿科

来院路线

来院路线
地址:福州世茂国际中心1号楼3层(地铁茶亭站D出口)