装假牙要多少钱
来源:贝臣齿科
2018-06-17 14:55
进入答疑区

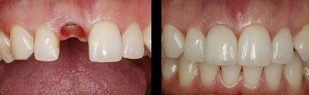
  想要具体了解装假牙要多少钱>>>点击【在线咨询】直接问医生!方便!快捷!家住福州的马女士,因为没有好好的爱护自己的牙齿,导致自己上颌的右前侧切牙,变成了龋齿,而且越来越严重,只能将其拔除。现在看着这牙齿空缺,马女士总觉得自己挺难看的,就想装个假牙,把这空缺填满。后来马女士通过公交车上的车体广告,看到贝臣齿科种植牙技术的广告,后来就拨打免费电话咨询了在线顾问,顾问告知装假牙的方法有很多,其中种植牙以“快、准、精、微、恒”为特色优势,是目前理想的修复缺牙技术。
 


 

  医师详细的检查和了解后,医师告诉马女士,像她这种情况较好是做种植牙,因为种植牙的使用年限长,比其他类型假牙要更耐用,而且种植牙无论从功能上、美观上来说,都和真牙一样没什么太大的差别。马女士在对比了种植牙和其他假牙的的使用年限和价格后,认为种植牙是一种近似于一劳永逸的方法,所以很快就接受了医师的建议。
 

  由于马女士的牙齿是以前就缺失的,而且口腔状况也很好,医师很快就为她安排的手术。经过精心的治疗后,马女士对镜子里自己很满意,但是杭州牙科的医师告诉她,现在戴的是临时的牙冠,过段时间等伤口长好了,再换上更坚固的牙冠,这样才能真正的帮助自己恢复咀嚼功能。>>>点这里,直接预约医生!方便快捷!
 

  医生指出:通过上述的案例可以说明假牙一定要装适合自己的,那样才是相对划算的选择。由于每种假牙的性能、使用年限都不一样,所以在价格上还是有很大区别的。一般来说,活动假牙的价格相对较为便宜;而固定假牙的价格则相对较高,价格在数百到千元不等。如果是种植牙,其价格一般要在万元左右。不过这也不是固定的,因为价格还需要考虑到不同的地区,不同的医院等级。
 


 

  医生表示,装假牙的价格其实是没有一个固定的数字的,这主要是因为这其中要考虑很多的因素,要综合这些因素,才能得出装假牙多少钱的结论。
 

  1、与假牙的种类有关
 

  目前假牙假牙的种类有:活动假牙、固定假牙、种植牙这三种,而这三种假牙在工艺和效果上是有高低之分的,所以价格也都不一样。由高到低依次为:种植牙,固定假牙,活动假牙。
 

  2、与假牙材料有关
 

  即便是选用相同类型的假牙,也会因其材料的选用而使价格不同。就拿固定假牙来说,固定假牙从材料上分为:非贵金属、贵金属、铸瓷、全瓷等。
 

  3、与装假牙医院有关
 

  现在大大小小的口腔医院或诊所都打出了装假牙的牌子,而他们的价格全各有高低。一般来说小诊所的价格要低,但是环境不好、医生技术有限、设备不齐全等问题;虽然大医院的费用较高,但是环境舒适、服务好、医生的技术高、卫生条件好、设备齐全等优势。立即咨询
 

  4、与患者口腔的健康状况有关
 

  在假牙修复前,如果口腔内有炎症或者龋病,则应进行全面规范的治疗,而由于每颗人口腔状况的不同,因此镶假牙前的治疗费用不同。
 

  5、与假牙的颗数有关
 

  有的人失去的牙齿会不止一颗,如果要将这些失去牙齿全部镶齐,那就先要看一共需要镶几颗。由于每颗假牙的价格都是独立计算的(全口活动假牙除外,此种假牙只适用于口内无牙的症状),所以所需假牙的颗数越多,价格也就高。
 

  为了保障患者能够获得良好的效果,我们医生建议,患者要选择正规的口腔医院,这样治疗才有保障。而且我院新引进的微创技术也很不错,帮助患者治疗牙齿缺失方面的问题,效果非常好已经治愈很多的患者了。成活率较高;骨结合更牢,排斥率较低;手术时间更短,全程微创,舒适微痛。还有不明白的,点击免费咨询,或者拨打24小时贝臣美牙热线0591-88681777咨询,贝臣齿科医生为您解答!

温馨提示:
病情因人而异,以上信息仅供参考,请您一定到专业正规医院,接受医生的诊断与治疗。贝臣齿科提供网络咨询预约平台,可以向在线人员咨询您的情况。

在线咨询预约医生

在线咨询(免费咨询)在线近距离

点击右侧按钮查看其它视频
点击右侧按钮查看其它视频

24H免费咨询电话

贝臣节假日无休

福州贝臣齿科 — 专做口腔

福州贝臣齿科是卫生部门批准成立的专业口腔诊疗机构。在全国各大城市CBD商务核心区...[详细]

推荐医生

  • 阿诺德·马丁贝臣齿科(中

  • 穆素花贝臣世茂院技

  • 林劲松贝臣世茂院牙

  • 陈振林贝臣世茂院正

  • 阿诺德·马丁贝臣齿科(中

  • 穆素花贝臣世茂院技

  • 林劲松贝臣世茂院牙

  • 陈振林贝臣世茂院正

口腔热门项目推荐

  • 牙齿种植
  • 牙齿矫正
  • 牙齿修复
  • 牙齿美白
  • 无痛治疗
  • 儿童齿科

来院路线

来院路线
地址:福州世茂国际中心1号楼3层(地铁茶亭站D出口)