 
  
	  人的大部分表情都通过嘴巴来表达,所以牙齿的整齐和洁白非常重要。牙齿长得不整齐,颜色又黑又黄,一张口就破坏了整张脸的美感,怎么办?这个问题困扰了很多爱美的人,特别是成年人来说,牙齿问题成为了他们心中难以启齿的秘密。》》点击免费咨询,或者拨打24小时齿科健康热线0591-88681777咨询,贝臣齿科为您解答。
	 
	  牙齿问题如何快速解决?
	 
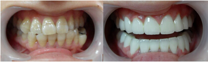
	  贝臣齿科医生指出:对于成年人来说,牙齿畸形及牙齿颜色不理想,快速便捷的解决方法就是美容冠。美容冠这种牙齿整形方法能满足现代人速效的需求,短期内就有立竿见影的效果,一般10到14天就能塑造一副漂亮整齐的牙齿。通过做美容冠,解决牙齿问题,可以让人看起来更年轻、漂亮、有活力。
	 
	
	 
	  在几年前这种治疗方法主要以艺人为主,目前逐渐在20—30岁的年轻人群中广受欢迎。牙齿影响人的外貌,一口整齐、洁白的牙齿能立马给美丽加分。做美容冠并不复杂,只要磨去部分牙齿,再用优质材料做一个“帽子”套在牙齿上即可。整个治疗过程,大约需要一周时间就能完成,时间短、美白效果好,因而大受求美者的欢迎。
	 
	  美容冠令牙齿自然美白!
	 
	  在做美容冠的时候,一定要去找经验丰富的齿科医生来设计。因为美容冠不只是做一个大小合适的牙套,更重要的是考虑求美者的齿形并选择适合颜色和排列,这除了依赖医生的外,还考验医生的审美能力。
	 
	
	
	  在电视上常常可以看到有些一人的牙齿前面四颗牙白得很不自然,与其他牙齿的颜色不协调,让人一看就知道是“假牙”。另外,还有一些人满口的牙齿都如同雪一样白,与牙齿正常半透明状况完全不同,一张口也让人看着别扭。所以说,做美容冠不是牙齿白、整齐就算是“完美好牙”,自然美白才是正道。》》点击咨询在线医生详细德国仿生美容冠
	 
	  美容冠美白牙齿,贝臣齿科!
	 
	  贝臣齿科的医生提醒众多是为牙齿问题困扰的人们,做美容冠一定要选择的齿科机构。一家的机构是解决牙齿问题的前提。选择贝臣齿科具有以下显著的特点:
	 
	  一、精湛的医生团队:贝臣齿科汇集了众多精湛的口腔的博士,从业经历十余年,拥有丰富的口腔临床知识。长期坐诊的医生在国内外享有盛誉,多次受邀到韩国参加口腔种植学术交流会,在口腔治疗和牙齿纠正、种植、美白等方面有丰富的临床经验。
	 
	  二、 国内领先的美白和设备:贝臣德国四维隐形正畸采用了 国内领先的设备口腔综合治疗台,继承了传统的牙颌畸形矫治、牙齿美白理念,是现代口腔医学、计算机辅助三维诊断、个性化设计及数字化成型的完美结合。
	 
	  三、优质上乘的服务:贝臣齿科一直秉承、优质、真诚和人性化的服务宗旨,打造属于贝臣齿科的服务理念,尤其是在医疗行业的服务特点上大胆的做出了改进,在细节上更是照顾到了每一位龅牙顾客的感受。》》文字看累了吧,直接点击咨询医生吧!
	 
	  很多因为牙齿黑黄困扰的人在贝臣齿科接受了德国仿生美容冠治疗后,不仅使得牙齿起到了完美的美白效果,在改善脸型方面也朝着良性方面发展。只有告别牙齿问题,拥有一副完美的牙齿,这样才能更加自信的迎接未来的生活。
	 
	  贝臣齿科温馨提示:贝臣齿科医生将根据您的具体情况制定具体的诊疗方案,解决您的烦恼。为您的牙齿健康保驾护航,贝臣齿科一直努力着!》》如若还有疑问,点击免费咨询或拨打24小时贝臣美牙热线0591-88681777咨询,贝臣齿科医生为您解答。
	 
	
在线咨询(免费咨询)在线近距离