种植牙的优势有哪些
来源:未知
2016-06-23 10:53
进入答疑区

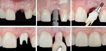
        想要具体了解种植牙的优势有哪些点击【在线询价】在线咨询医师一对一的交流!方便!快捷!种植牙被称为人类的第三幅牙齿,也是很多人在牙齿有问题的时候选择的种牙齿种植方式,大家对种植牙都是耳熟能详,但种植牙到底有哪些优势,我想很多人不是很清楚,下面听听贝臣齿科医师的介绍吧!
 



点这里 牙齿种植!我要预约医生!

 

  种植牙的优势有哪些?贝臣齿科医师为你介绍
 

  一、稳固牢靠:种植牙全固定式种植体固位好,比传统假牙戴的稳固、牢靠。种植牙的失败率低于人类自身牙齿的失牙率,咀嚼效率较传统假牙有大幅度。
 

  二、清洁方便:因为种植牙是仿自然牙,所以清洁种植牙非常方便,不用摘牙。它与临牙间保存有自然间隙,可以用牙线直接进行清洁。
 

  三、感觉自然:种植后,牙齿宛若新生,跟天然牙样,并对人体不会产生任何的副作用。
 

  四、不伤邻牙:它不影响健康邻牙,其靠自身牙根立存在,且无需磨两侧健康牙,也不会造成假牙同健康牙接触面食物嵌塞而使健康牙造成新的龋坏。
 

  五、没有痛苦:种植牙的手术很小,般种植体植入术只需要几十分钟到数小时就可以完成,无需住院,手术过程完全,术后即可进食。
 

  六、舒适美观:种植牙没有传统镶牙方法中的钩或套。
 


 

  种植牙的常见问题点这里,直接预约医生!方便快捷!
 

  1、顾客提问:种植牙价格和口腔环境有什么关系?
 

  医生答疑:在进行种植牙手术前,需要对顾客进行全方位的检查,如果有牙周炎等疾病,需要根据情况治疗后再进行种植,分析诊断顾客牙槽骨适合的种植体种类等,这些都是决定种植牙价格的因素。
 

  2、顾客提问:种植牙材质是不是价钱越高的就越好?越适合自己?
 

  医生答疑:很多人都有这种感觉,东西越贵的才是越好的,但是在牙齿种植中,却并不是如此。经过多年临床经验分析,顾客只有采用了适合自己情况的种植体,才会获得的种植效果,才能够像自己的真牙一样去使用,因此对于种植体的选择,不能够通过价格来判断好坏。
 

  3、顾客提问:齿科机构的实力越强,种植牙的价格是不是就越高?
 

  医生答疑:种植牙手术不仅需要医生经验丰富,设备来保证治疗的,这些都只有齿科机构才具备的,如果选择种植的齿科机构不具备的实力,则有可能会导致种植失败、以及由此带来的牙齿、口腔危害。后只有到齿科机构治疗,然后重新接受种植,白花钱不说,自己更因为不合格的种植导致的牙周炎症、发生溃烂而痛苦不堪。

温馨提示:
病情因人而异,以上信息仅供参考,请您一定到专业正规医院,接受医生的诊断与治疗。贝臣齿科提供网络咨询预约平台,可以向在线人员咨询您的情况。

在线咨询预约医生

在线咨询(免费咨询)在线近距离

点击右侧按钮查看其它视频
点击右侧按钮查看其它视频

24H免费咨询电话

贝臣节假日无休

福州贝臣齿科 — 专做口腔

福州贝臣齿科是卫生部门批准成立的专业口腔诊疗机构。在全国各大城市CBD商务核心区...[详细]

推荐医生

  • 阿诺德·马丁贝臣齿科(中

  • 穆素花贝臣世茂院技

  • 林劲松贝臣世茂院牙

  • 陈振林贝臣世茂院正

  • 阿诺德·马丁贝臣齿科(中

  • 穆素花贝臣世茂院技

  • 林劲松贝臣世茂院牙

  • 陈振林贝臣世茂院正

口腔热门项目推荐

  • 牙齿种植
  • 牙齿矫正
  • 牙齿修复
  • 牙齿美白
  • 无痛治疗
  • 儿童齿科

来院路线

来院路线
地址:福州世茂国际中心1号楼3层(地铁茶亭站D出口)