福州种植牙多少钱一颗
来源:未知
2016-11-07 10:23
进入答疑区

  作为一种新兴的口腔修复方式,种植牙可完美解决缺牙遗憾,一次修复、终身无忧。那么,种植一颗牙需要多少钱呢?种植牙的费用由需种植牙者的口腔状况决定,因为口腔状况直接决定了牙齿种植所需要的医师,方案以及材料等。所以,一些口腔医院广告所宣传的一口价是没有任何保障的,也是没有任何科学依据的,要谨慎选择。
 


 

  贝臣齿科费用公开透明。因为每个人的牙齿及口腔状况不同,所以并不能给出具体的费用,但是贝臣齿科在收费方面是决对按照国家标准收取的,所有花费用处都会详细告知患者,公开透明。其实,相比较于其他医院,相同的费用,贝臣齿科医师更好,医术更,环境服务更好……所以,绝对让你觉得物超所值!
 

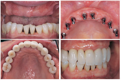
  牙齿缺失种植效果
 

  种植牙作是目前,效果相对较好的牙齿缺失修复方式,可以完美解决缺牙遗憾,种植后的牙齿和真牙无异,咀嚼能力强,效果是非常好的,被誉为人类的第三副牙齿,因此种植牙物有所值,所以其价格也不菲,需要一定的经济承受能力。除此之外每个人的牙齿情况不同,所选择的种植牙材料不同,费用也是不同的,因此种植牙的费用是因人而异的。影响种植牙费用的因素是多方面的。
 


 

  完美种牙,有高招!
 

  作为知名的口腔种植品牌,有着自己的技术并不奇怪。贝臣齿科种植牙目前所采用的德国精工种植牙,是全球公认的、的牙齿种植,一经推出便成功 国内种植齿科的金标准。
 

  德国精工种植牙能达到的种牙效果:整个种牙过程只需20—30分钟,、稳定、可靠。,可将种植体在拔牙同时一次性植入,无需二次开刀种植,种植后可立即吃东西。固位性好、咀嚼功能强大,美观舒适、完全能与真牙相媲美。

温馨提示:
病情因人而异,以上信息仅供参考,请您一定到专业正规医院,接受医生的诊断与治疗。贝臣齿科提供网络咨询预约平台,可以向在线人员咨询您的情况。

在线咨询预约医生

在线咨询(免费咨询)在线近距离

点击右侧按钮查看其它视频
点击右侧按钮查看其它视频

24H免费咨询电话

贝臣节假日无休

福州贝臣齿科 — 专做口腔

福州贝臣齿科是卫生部门批准成立的专业口腔诊疗机构。在全国各大城市CBD商务核心区...[详细]

推荐医生

  • 阿诺德·马丁贝臣齿科(中

  • 穆素花贝臣世茂院技

  • 林劲松贝臣世茂院牙

  • 陈振林贝臣世茂院正

  • 阿诺德·马丁贝臣齿科(中

  • 穆素花贝臣世茂院技

  • 林劲松贝臣世茂院牙

  • 陈振林贝臣世茂院正

口腔热门项目推荐

  • 牙齿种植
  • 牙齿矫正
  • 牙齿修复
  • 牙齿美白
  • 无痛治疗
  • 儿童齿科

来院路线

来院路线
地址:福州世茂国际中心1号楼3层(地铁茶亭站D出口)