种一颗牙需要多长时间
来源:未知
2016-06-24 14:48
进入答疑区

  种植牙的全部疗程平均需要6-8个月,具体要视种植体与骨组织的愈合情况而定。短的只需3-4个月,而时间久的则需一年左右。同样进行牙齿种植,上颌所需的时间一般比下颌长,这是因为上颌的骨组织相对疏松,需要更长的时间愈合。
 

  因此,种植牙齿所需的时间要根据患者牙齿缺失的具体情况而定。一般情况,牙齿种植的整体过程可分为三个阶段。
 


 

  一、术前检查并制定方案
 

  医生会对患者的缺牙部位以及整个口腔状况进行系统、完善的检查,如有问题则做相应处理。并根据实际情况制定详细的种植治疗方案。
 

  二、植入人工种植体
 

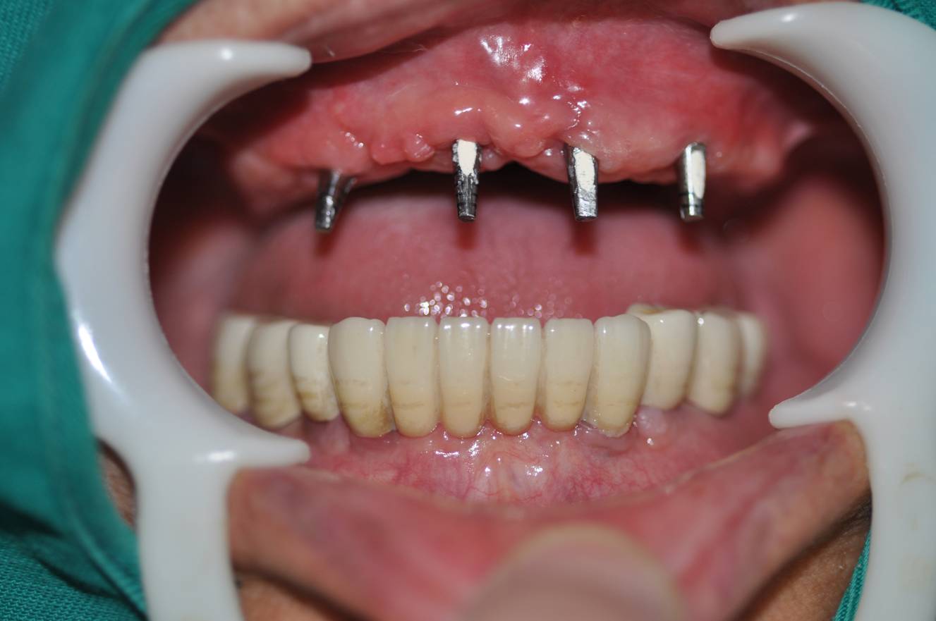
  在局麻的状态下,将种植体植入患者的牙槽骨内。通常植入一枚需要10-30分钟。如缺牙部位骨量不足,则需植入人工骨粉材料进行补充。种植完成后,患者需要等待人工牙根和牙槽骨结合,大致需要2-6个月,这段时间可戴临时假牙度过。
 


 

  植入种植体
 

  三、烤瓷冠修复
 

  人工牙根和牙槽骨完全结合后,就可着手种植体的牙冠修复,这一过程大约用时一个月。后修复完成后,患者还需定期复查,以维护种植牙的长期使用。
 


 

  人工牙冠修复
 

  而贝臣齿科所采用的德国精工种植牙对于牙槽骨状况良好的患者,可实现即刻修复,就是种完了马上安装牙冠。不需要像传统种植牙一般,埋入3个月后割开做二期修复,二期修复2个星期后拆线,拆完线再等一个星期才能带牙。它成功的压缩了整个治疗时间,是您种植牙齿的佳选择。

温馨提示:
病情因人而异,以上信息仅供参考,请您一定到专业正规医院,接受医生的诊断与治疗。贝臣齿科提供网络咨询预约平台,可以向在线人员咨询您的情况。

在线咨询预约医生

在线咨询(免费咨询)在线近距离

点击右侧按钮查看其它视频
点击右侧按钮查看其它视频

24H免费咨询电话

贝臣节假日无休

福州贝臣齿科 — 专做口腔

福州贝臣齿科是卫生部门批准成立的专业口腔诊疗机构。在全国各大城市CBD商务核心区...[详细]

推荐医生

  • 阿诺德·马丁贝臣齿科(中

  • 穆素花贝臣世茂院技

  • 林劲松贝臣世茂院牙

  • 陈振林贝臣世茂院正

  • 阿诺德·马丁贝臣齿科(中

  • 穆素花贝臣世茂院技

  • 林劲松贝臣世茂院牙

  • 陈振林贝臣世茂院正

口腔热门项目推荐

  • 牙齿种植
  • 牙齿矫正
  • 牙齿修复
  • 牙齿美白
  • 无痛治疗
  • 儿童齿科

来院路线

来院路线
地址:福州世茂国际中心1号楼3层(地铁茶亭站D出口)