做种植牙修复好不好
来源:贝臣齿科
2016-11-06 15:19
进入答疑区

  现在修复牙齿脱落的方法不仅有假牙,还有种植牙,可是这种水平有些人不了解,不知道它的水平修复后的效果好不好,那么做种植牙修复好不好?
 


 

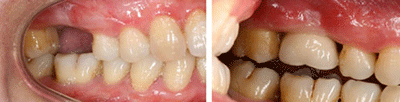
  种植牙是目前好的牙齿缺失修复,是缺牙者的好选择。做种植牙修复好不好?先来看看种植牙的优势:
 

  1、外观好。种植牙看起来就跟自然牙一样,根本看不出来是假牙,种上牙以后整个人年轻了10岁。
 

  2、对邻牙无害。种植牙不像假牙需要磨除邻牙做烤瓷桥,种植牙是只种在缺失牙的位置上,对邻牙没有伤害和影响。
 

  3、种植牙很稳固。传统的假牙很不稳固,戴过假牙的老人们都知道,打个喷嚏也许假牙就掉出来了。种植牙是牢牢种在牙槽骨里面的,绝对不会有戴不稳的情况出现。
 

  4、咬合功能好。传统的假牙咬颌力大概是自然牙齿的1/20,种植牙的咬颌力与自然牙齿相近,可以嚼碎较硬的食物。
 

  5、维持健康的牙槽骨。长期的使用传统假牙会造成牙槽骨萎缩。但在缺牙区植入种植体能够增加牙槽骨的骨密度,减少了牙槽骨的吸收对牙齿更健康。
 


 

  现在缺失牙齿的人越来越青睐于种植牙修复,因为不仅美观而且实用。种植牙的专业性很强,一般的牙医是做不了的,所以我们一定要选择专业大型的口腔医院进行手术,避免出现手术风险。

温馨提示:
病情因人而异,以上信息仅供参考,请您一定到专业正规医院,接受医生的诊断与治疗。贝臣齿科提供网络咨询预约平台,可以向在线人员咨询您的情况。

在线咨询预约医生

在线咨询(免费咨询)在线近距离

点击右侧按钮查看其它视频
点击右侧按钮查看其它视频

24H免费咨询电话

贝臣节假日无休

福州贝臣齿科 — 专做口腔

福州贝臣齿科是卫生部门批准成立的专业口腔诊疗机构。在全国各大城市CBD商务核心区...[详细]

推荐医生

  • 阿诺德·马丁贝臣齿科(中

  • 穆素花贝臣世茂院技

  • 林劲松贝臣世茂院牙

  • 陈振林贝臣世茂院正

  • 阿诺德·马丁贝臣齿科(中

  • 穆素花贝臣世茂院技

  • 林劲松贝臣世茂院牙

  • 陈振林贝臣世茂院正

口腔热门项目推荐

  • 牙齿种植
  • 牙齿矫正
  • 牙齿修复
  • 牙齿美白
  • 无痛治疗
  • 儿童齿科

来院路线

来院路线
地址:福州世茂国际中心1号楼3层(地铁茶亭站D出口)