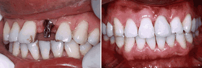
种植牙能够使用多久
来源:贝臣齿科
2016-11-06 14:39
进入答疑区

  我们知道活动假牙是要不定期更换的,那么如果是种植牙又能使用多久?早的一颗种植牙,直至现在已经使用40多年了,可见种植牙是可以像真牙一样使用一生的,并不像假牙的寿命那么短经常的需要更换。
 


 

  种植牙能够使用多久?决定种植牙寿命的几个关键因素。
 

  1、医师的水平和经验决定种植牙寿命:种植牙手术,对医师的水平和经验有着极高的要求,并不是普通的牙医能做的。种植牙医师必 须要拥有丰富的临床经验,从而保证种植牙的长期效果,所以我们在选择种植牙机构时应该慎重,好选择大型靠谱的口腔医院。
 

  2、种植系统不同寿命可能受到影响:种植牙系统有很多,而不同的种植牙系统,在生产工艺、加工精度等方面,都会存有一定差异。就像其他产品一样,不同的品牌质量不一样,不同的种植体和牙冠,使用寿命也有所差异。
 

  3、术后的维护与保养:种植牙术后的维护与保养很关键,虽然种植牙是假牙,但它需要正常的牙槽骨、牙周组织来维护它的稳定性,所以种植牙齿后还是要好好刷牙,保持良好的口腔卫生,预防种植体周围的牙周组织发生炎症,这样就可以使种植牙的使用时间更长一些。
 


 

  种植牙能够使用多久?一般来说做好术后护理工作,种植牙是可以使用终身的,平时好好刷牙,定期对牙齿进行检查,有问题及时解决,让种植牙会陪伴我们度过舒适的晚年。

温馨提示:
病情因人而异,以上信息仅供参考,请您一定到专业正规医院,接受医生的诊断与治疗。贝臣齿科提供网络咨询预约平台,可以向在线人员咨询您的情况。

在线咨询预约医生

在线咨询(免费咨询)在线近距离

点击右侧按钮查看其它视频
点击右侧按钮查看其它视频

24H免费咨询电话

贝臣节假日无休

福州贝臣齿科 — 专做口腔

福州贝臣齿科是卫生部门批准成立的专业口腔诊疗机构。在全国各大城市CBD商务核心区...[详细]

推荐医生

  • 阿诺德·马丁贝臣齿科(中

  • 穆素花贝臣世茂院技

  • 林劲松贝臣世茂院牙

  • 陈振林贝臣世茂院正

  • 阿诺德·马丁贝臣齿科(中

  • 穆素花贝臣世茂院技

  • 林劲松贝臣世茂院牙

  • 陈振林贝臣世茂院正

口腔热门项目推荐

  • 牙齿种植
  • 牙齿矫正
  • 牙齿修复
  • 牙齿美白
  • 无痛治疗
  • 儿童齿科

来院路线

来院路线
地址:福州世茂国际中心1号楼3层(地铁茶亭站D出口)