牙齿掉落怎么办
来源:贝臣齿科
2016-11-06 15:17
进入答疑区

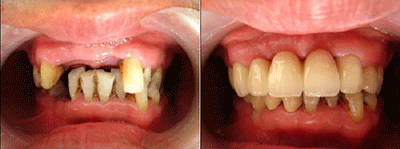
  门牙起到撕咬食物的作用,也是我们的门面,掉了不仅不方便,还会显得衰老,那么门牙掉了该怎么办呢?当然是镶回去了。但是很多人在牙齿掉了后并没有引起足够的重视,据调查研究在牙齿缺失后只有12%的人认为应该及时镶牙,40%的人对此表示不清楚,48%的人认为只要能吃东西不需要镶牙。其实这种想法是不可取的,牙齿缺失长期不修复会带来许多负面的影响,具体如下:
 


 

  1、影响美观。出现多颗牙齿缺失会使得脸面下陷,显得非常苍老。
 

  2、造成邻牙脱落。两边的牙齿没有了原本的支撑力,牙龈变得倾斜,容易导致牙齿松动,后出现牙齿脱落的情况。
 

  3、牙龈萎缩。咬合力对牙槽骨的刺激性不存在了,牙槽骨就容易出现废用性萎缩。
 

  4、咀嚼功能减退。咀嚼的面积减少,咀嚼的效能也会降低。
 

  5、造成食物嵌塞。一般情况下牙齿与牙齿之间的排列是十分紧密的,当牙齿缺失后就容易使得牙齿向缺失区移动,这样就出现了牙齿之间的缝隙,就容易出现食物的嵌塞,引起口臭、蛀牙、牙周病等。
 

  6、造成发音功能减退。由于牙齿缺失会导致说话漏风,导致说话不清楚,影响到了发音的功能。
 


 

  当牙齿缺失一定要及时镶上假牙,或者种上种植牙,目前来说种植牙是比普通假牙要好很多的,是缺牙者更好的选择。

温馨提示:
病情因人而异,以上信息仅供参考,请您一定到专业正规医院,接受医生的诊断与治疗。贝臣齿科提供网络咨询预约平台,可以向在线人员咨询您的情况。

在线咨询预约医生

在线咨询(免费咨询)在线近距离

点击右侧按钮查看其它视频
点击右侧按钮查看其它视频

24H免费咨询电话

贝臣节假日无休

福州贝臣齿科 — 专做口腔

福州贝臣齿科是卫生部门批准成立的专业口腔诊疗机构。在全国各大城市CBD商务核心区...[详细]

推荐医生

  • 阿诺德·马丁贝臣齿科(中

  • 穆素花贝臣世茂院技

  • 林劲松贝臣世茂院牙

  • 陈振林贝臣世茂院正

  • 阿诺德·马丁贝臣齿科(中

  • 穆素花贝臣世茂院技

  • 林劲松贝臣世茂院牙

  • 陈振林贝臣世茂院正

口腔热门项目推荐

  • 牙齿种植
  • 牙齿矫正
  • 牙齿修复
  • 牙齿美白
  • 无痛治疗
  • 儿童齿科

来院路线

来院路线
地址:福州世茂国际中心1号楼3层(地铁茶亭站D出口)